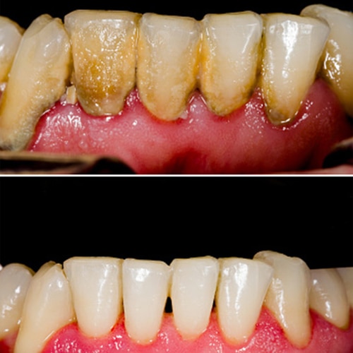
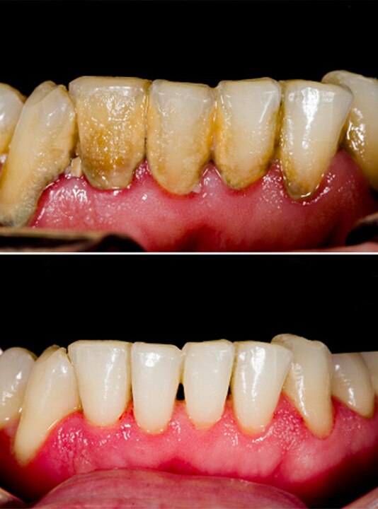
Generalised loss of attachment and gingival recession example
min read
Share articles, videos and PDFs to help your patients learn more about specific conditions and effective treatments for a healthier smile.